Humerus Fracture @ Elbow
Distal humerus
When you break the bone at the far end of the humerus it often involves the elbow joint. If the bone is left to heal with a step in the joint surface then the elbow will become stiff. Due to the rough articulation the joint will develop arthritis as the cartilage is worn away. It is therefore vital that good x-rays or even CT scans are performed to check that the broken bone fragments are well aligned (undisplaced).Treatment options.
Non Operative
- This is possible when the broken pieces of bone have not moved (undisplaced) and are unlikely to do so (stable) even with early movement of the elbow. The elbow is supported in a sling and encouraged to bend/ straighten as soon as pain allows. It is important that the elbow joint starts moving straight away so it must not be put into plaster for long. The elbow becomes very stiff within a couple of weeks of not moving and even with physiotherapy any loss of movement is difficult to recover. Despite early movement it is usual to lose full extension of the arm (it will not go straight) this is the nature of the injury and is unavoidable. It is rare that the loss of movement is a problem as nearly every thing that we do is done with the elbow bent 30-130 degrees. If the stiffness is a problem it can be delt with surgery in the future (see stiff elbow). Xrays must be repeated in the first 2 weeks to ensure the fragments have not moved. If the fracture does move then non operative treatment has failed and surgery may be necessary.
- In very elderly patients who hardly use their arm and are cared for by others. The elbow can be supported in a sling for 4-6 weeks and the elbow is moved as pain allows. The broken fragments of bone move around inside the joint but by 6-8 weeks the pieces scar up and stop hurting. This does not result in a very useful arm but if the elbow is not used much it does not matter and an operation is avoided.
Operative treatment
There are 2 options.
- Fixing the fragments in the right place with a plate and screws. An incision is made down the back of the elbow. The pieces of bone are put back into their correct place and held by a plate and screws. Because the pieces are held together in this way early movement of the joint is possible and stiffness is limited.
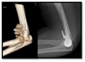
- Replacing the joint with an artificial joint- hemiarthroplasty. In an active patient who is over 65 who has a badly broken distal humerus an artificial joint is the best option. This is for nasty fractures, where the bone is thin/osteoporotic or crumbled away and reconstruction is impossible. Great results and a pain free range of movement can be achieved.
- Is there anything that can go wrong? Operations to fix fractures are very successful and most people who have them are delighted with the operation and are glad they had it done. Like any operation a very small number of people can have a problem. The main problems with fracture fixation are infection, loosening of the plate and screws. Nerves can be bruised and the elbow can become stiff. The risks of these problems only add up to 2-3% of all operations but need to be taken into account when deciding whether to have the operation. You should discuss the possibility of problems with your surgeon before your operation.
![]() | ![]() | |





